Lobular Carcinoma in Situ

Source: Shutterstock
Lobular carcinoma in situ (LCIS) is a non-invasive breast condition that involves the abnormal growth of cells in the lining of the milk-producing glands (lobules) of the breast. While it has the word ‘carcinoma’ in its name, which is a class of cancer, it is not actually considered a cancer. However, it is a risk factor for developing breast cancer in the future. People with LCIS are 7 to 12 times more likely to develop invasive lobular carcinoma in either breast.

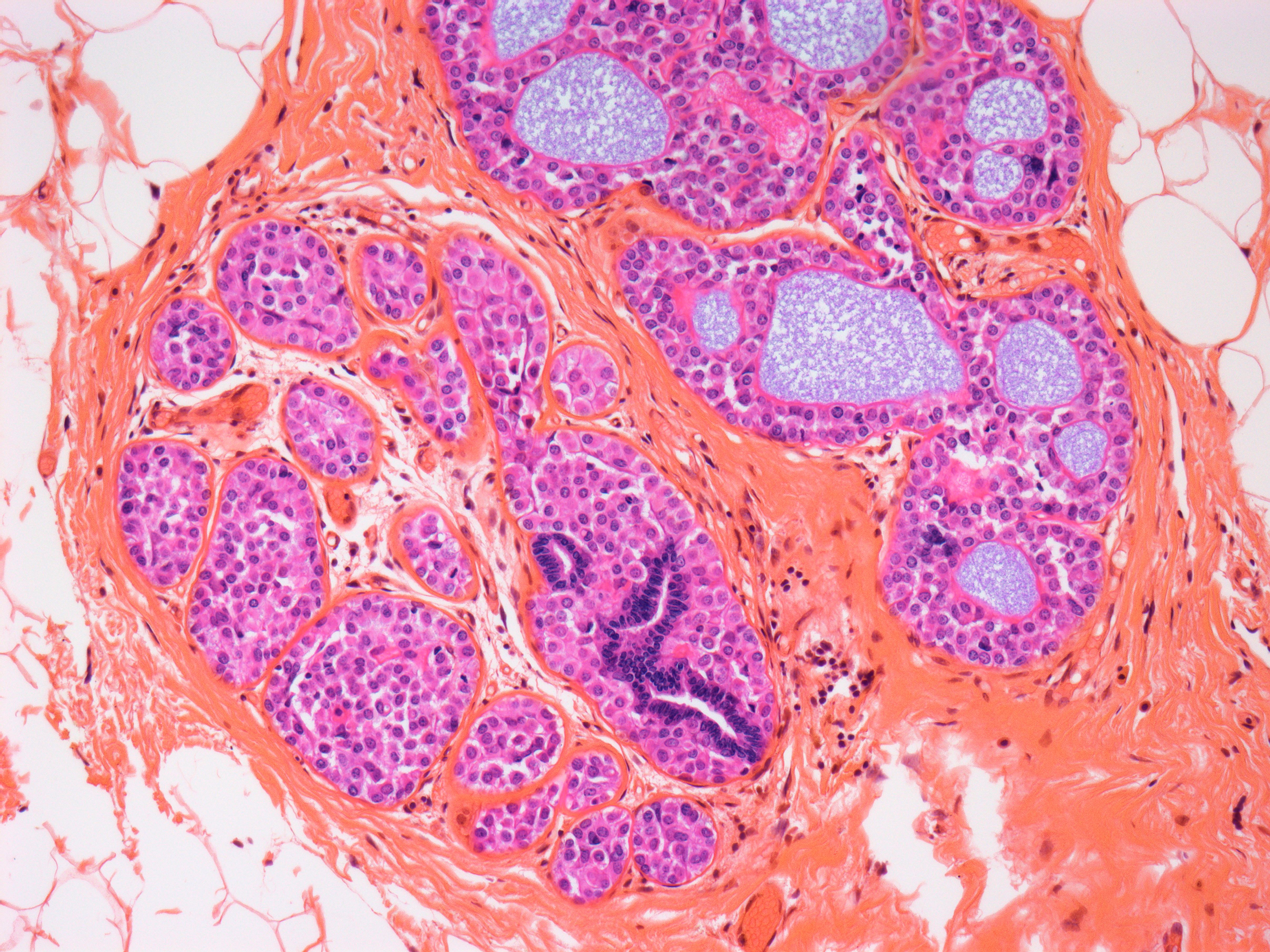
Light micrograph of a section through a breast with lobular carcinoma in situ (LCIS). Source: Science Photo Library
Symptoms of LCIS
Unlike other benign breast conditions that may cause breast swelling or nipple discharge, LCIS does not typically cause any symptoms.
How is LCIS diagnosed?
As LCIS does not usually cause symptoms like breast lumps, it often goes unnoticed until the breast is checked for other conditions. Many cases of LCIS are only incidentally discovered when a breast biopsy is done for abnormal mammograms. Sometimes, when the abnormal cells are larger than normal (pleomorphic LCIS) or when the abnormal cells have grown into a large enough group such that a mass is formed (florid LCIS), they may be seen on a mammogram.
Treatment methods for LCIS
As LCIS is not technically a cancer, it often does not require any treatment. However, as it is a risk factor for breast cancer, you may be recommended to have regular check-ups to monitor the growth of the LCIS as well as to check the breast for other cancerous growths. This may include regular imaging tests such as mammograms and MRIs to detect the cancer as early as possible if it does develop.
In some cases, especially for those with pleomorphic or florid LCIS, your doctor may recommend an excisional biopsy or breast-conserving surgery to remove the growth completely.
If you have LCIS and perhaps other risk factors such as family history, you may be recommended medicine, such as hormone therapy or surgery like a mastectomy, to reduce the risk of getting breast cancer in the future. Do not worry, as your doctor will discuss the benefits and risks of these risk-reducing methods with you.
Getting a diagnosis that is related to cancer can be alarming. Fortunately, the outlook for LCIS is very good. In fact, most people with LCIS never develop breast cancer. With careful monitoring and risk-reducing strategies, many people diagnosed with LCIS stay cancer-free or are detected with breast cancer early, reducing the extent of treatment required. If you or someone you know has been diagnosed with LCIS, discussing treatment options and long-term management strategies with a healthcare provider or breast specialist is crucial. They can provide you with more information on the condition and recommend a tailored treatment plan.